Our dentist, Dr. Richard Durando, can see you for almost all of your smile needs. At our office, we can address complex dental problems and help you find the perfect solution for your smile. In our gallery, you can see just a few examples of our dental treatments in Menlo Park, California. If you are ready for your new smile, call Richard S. Durando, DDS at 650-285-6999 to schedule your visit.

Porcelain Crowns

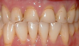
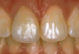
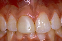
Before: Front (left) central tooth has a poor restoration. It does not look natural and is not contoured properly to match the gumline of the rest of the teeth.
After: We replaced the restoration with an all-porcelain crown. The tooth is now contoured to match the rest of the gumline. The restoration looks very natural and matches the shape and color of the patient’s teeth.

 

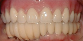
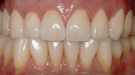
Before: The patient needs an upper arch rehabilitation. The patient presented with upper anterior teeth that were stained and tooth edges that were worn down and chipped. Gumline recession was present.
After: The patient’s smile was restored by placing eight upper all-porcelain crowns. The gumline and tooth edges are now uniform. The patient now has longer, better-shaped teeth which enhance the smile line and aid in chewing and biting functions.

 

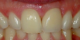
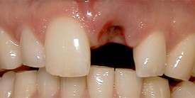
Before: The patient needed a single-tooth replacement of one upper central incisor.
After: The appearance and function of the patient’s smile have been restored with a single implant and an all-porcelain crown that fits securely over the implant.

 


Dentures & Partial Dentures

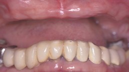
Before: This patient required an upper and lower arch rehabilitation.
After: After placing an upper implant-supported denture and lower implants and crowns, the aesthetics and function of the patient’s smile was greatly improved.

Porcelain Fixed Bridges

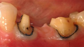
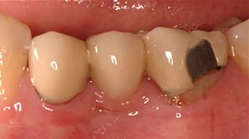
Before: The patient has a three-unit bridge with a chipped porcelain molar and the supporting metal showing on the tooth. The color of the enamel does not match the patient’s natural teeth and the bridge has a poor fit around the gumline.
After: The dental work was replaced with an all-porcelain bridge. The new bridge matches the patient’s natural tooth color and is designed to properly fit around the gumline. This makes it easier for the patient to clean around the bridge, decreasing the risk of tooth decay.

Note: The patients shown in these photos have consented their pictures being posted online. Please keep in mind that treatment results can vary from patient to patient.

Menlo Park Dental Care